Mesothelioma Bap1 - Bap1 Brca1 Associated Protein 1 Ubiquitin Carboxy Terminal Hydrolase - Survival difference could be attributed to earlier development of mesothelioma and death in bap1 mutant mice after asbestos exposure.
Mesothelioma Bap1 - Bap1 Brca1 Associated Protein 1 Ubiquitin Carboxy Terminal Hydrolase - Survival difference could be attributed to earlier development of mesothelioma and death in bap1 mutant mice after asbestos exposure.
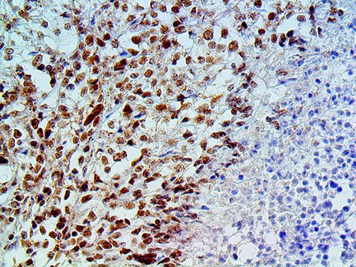
Mesothelioma Bap1 - Bap1 Brca1 Associated Protein 1 Ubiquitin Carboxy Terminal Hydrolase - Survival difference could be attributed to earlier development of mesothelioma and death in bap1 mutant mice after asbestos exposure.. We clearly found that alternations in bap1 were a negative predictor of chemotherapy response. Germline bap1 mutations are associated with a predisposition to uveal melanoma and malignant mesothelioma. 5 both mpm and mpem are strongly. bap1 immunohistochemistry (ihc) in representative malignant pleural mesothelioma (mpm) and reactive mesothelial hyperplasia (rmh) cases. Patients had to be aged 18 years or older and were required to have measurable disease by modified
Trial cutoff date was feb. Germline bap1 mutations have been recently associated with an increased risk of malignant mesothelioma, atypical melanocytic tumors and other neoplasms. Cai2, samuel litwin3, hongzhuang peng 4, jayashree karar , frank j. Individuals exposed to asbestos with this genetic mutation may be more susceptible to developing mesothelioma. bap1 mutations have been identified in aggressive mesotheliomas with similar mutations as seen in melanomas.
Bap1 Haploinsufficiency Predicts A Distinct Immunogenic Class Of Malignant Peritoneal Mesothelioma Genome Medicine Full Text from media.springernature.com The goal of mist is to enable acceleration of novel, effective personalised therapy as a basis for improving survival outcomes for patients with mesothelioma. Similar to gata3, its impact on prognosis is conflicting in different tumors and even reported as variable in mesothelioma 9 , 11 . To answer the question if different germline bap1 mutations may predispose to a single syndrome with a wide phenotypic range or to distinct syndromes. Tazemetostat was taken orally twice each day. 5% to 20%), and, rarely, the pericardium and tunica vaginalis of the testis. bap1 mutations have been identified in aggressive mesotheliomas with similar mutations as seen in melanomas. Survival difference could be attributed to earlier development of mesothelioma and death in bap1 mutant mice after asbestos exposure. bap1 is a tumor suppressor gene.
Loss of bap1 by ihc is 100% specific for malignant mesothelioma in the context of mesothelioma vs.
The goal of mist is to enable acceleration of novel, effective personalised therapy as a basis for improving survival outcomes for patients with mesothelioma. Several findings underscore the apparent driver role of bap1 in malignant mesothelioma (mm). Eligibility also required evidence of bap1 inactivation (loss of nuclear staining or loss of expression of bap1 protein) or. 5% to 20%), and, rarely, the pericardium and tunica vaginalis of the testis. Standard treatment of pem is limited to cytoreductive surgery and/or chemotherapy, and no effective targeted therapies for pem exist. We describe a patient with a family history of peritoneal mesothelioma, who developed malignant peritoneal mesothelioma at age 45 in the absence of known asbestos exposure. Cohort studies suggest a genetic component to mm susceptibility. The bap1 gene mutation has been linked to mesothelioma and other forms of cancer. The original cohort was comprised of 150 malignant mesothelioma cases with a history of asbestos exposure and past personal or family history of cancer. Formerly called atypical spitz tumors), and the following cancers, in descending order of frequency: Malignant mesothelioma (mm) is a rare but highly aggressive neoplasm. Prognosis is currently poor, and. They were enrolled initially between 2016 and 2018.
They were enrolled initially between 2016 and 2018. bap1 ihc stain is a tool for detection of bap1 mutations with subsequent inactivation. bap1 immunohistochemistry (ihc) in representative malignant pleural mesothelioma (mpm) and reactive mesothelial hyperplasia (rmh) cases. Malignant mesothelioma (mm) is a rare but highly aggressive neoplasm. Mesothelioma—ie, pleural, peritoneal, or other.
Whole Exome Sequencing Reveals Bap1 Somatic Abnormalities In Mesothelioma In Situ Lung Cancer from els-jbs-prod-cdn.jbs.elsevierhealth.com 1,2 mm develops in the pleura (mpm; Malignant peritoneal mesothelioma is a rare aggressive tumor that arises from the peritoneal lining. Patients had to be aged 18 years or older and were required to have measurable disease by modified Cai2, samuel litwin3, hongzhuang peng 4, jayashree karar , frank j. Clinical condition bap1 hereditary cancer predisposition syndrome is a recently described condition associated with an increased risk for multiple cancers, including uveal melanoma, malignant mesothelioma, cutaneous melanoma, and renal cell carcinoma. Malignant mesothelioma (mm) is a fatal cancer of the pleural and peritoneal cavities caused predominantly by exposure to asbestos. Recent studies have shown that bap1 and its. Detection of homozygous deletion (hd) of 9p21 region including p16 ink4a (p16) by fluorescence in situ hybridization (fish) and immunohistochemical detection of loss of brca1 associated protein 1 (bap1), are reliable markers for mpm diagnosis.
Parp is another protein that is crucial in dna repair and enables continued cell replication and survival.
Some immune checkpoint inhibitor studies of mesothelioma have found positivity to be associated with a worse prognosis. These cancer types are also those that, when they occur sporadically, are more likely to carry somatic. Formerly called atypical spitz tumors), and the following cancers, in descending order of frequency: 3,4 globally, mm mortality has been estimated at 9.9 per million with large regional variations that correlate with asbestos use. bap1 is a protein that plays an important role, for example in the repair of dna damage and in the controlled cell death that is called apoptosis. Somatic bap1 mutations are seen in cutaneous melanocytic tumors (epithelioid atypical spitz tumors and melanoma), uveal melanoma, mesothelioma, clear cell renal cell carcinoma, and other tumors. Detection of homozygous deletion (hd) of 9p21 region including p16 ink4a (p16) by fluorescence in situ hybridization (fish) and immunohistochemical detection of loss of brca1 associated protein 1 (bap1), are reliable markers for mpm diagnosis. Survival difference could be attributed to earlier development of mesothelioma and death in bap1 mutant mice after asbestos exposure. Ezh2 regulates gene expression to prevent differentiation of stem and progenitor cells. These findings lead us to hypothesize that the mesothelioma occurred in the setting of germline a. Individuals exposed to asbestos with this genetic mutation may be more susceptible to developing mesothelioma. Several findings underscore the apparent driver role of bap1 in malignant mesothelioma (mm). Eligibility also required evidence of bap1 inactivation (loss of nuclear staining or loss of expression of bap1 protein) or.
Mm often presents at an advanced stage with a median survival of ~1 year. bap1 immunohistochemistry is particularly useful in differentiating malignant mesothelioma (nuclear negative) vs. While recurrent bap1 mutations have been identified in a subset of mesotheliomas, molecular. 3,4 globally, mm mortality has been estimated at 9.9 per million with large regional variations that correlate with asbestos use. 32%, respectively) leading to decreased survival.
Whole Exome Sequencing Reveals Bap1 Somatic Abnormalities In Mesothelioma In Situ Lung Cancer from els-jbs-prod-cdn.jbs.elsevierhealth.com 32%, respectively) leading to decreased survival. Ezh2 regulates gene expression to prevent differentiation of stem and progenitor cells. Heritable mutations in the bap1 tumor suppressor gene predispose individuals to mesothelioma and other cancers. The investigators then showed in mouse models and in mesothelioma cells. Clinical condition bap1 hereditary cancer predisposition syndrome is a recently described condition associated with an increased risk for multiple cancers, including uveal melanoma, malignant mesothelioma, cutaneous melanoma, and renal cell carcinoma. Malignant peritoneal mesothelioma is a rare aggressive tumor that arises from the peritoneal lining. A mutation of the gene increases the likelihood of tumor development. Recent studies have shown that bap1 and its.
The study was small, involving only twelve mesothelioma patients selected from a group of 141 who had a family history of cancer but did not express a bap1 mutation.
At least two studies have identified a mutation of the bap1 gene in multiple mesothelioma patients. Somatic bap1 mutations are seen in cutaneous melanocytic tumors (epithelioid atypical spitz tumors and melanoma), uveal melanoma, mesothelioma, clear cell renal cell carcinoma, and other tumors. We describe a patient with a family history of peritoneal mesothelioma, who developed malignant peritoneal mesothelioma at age 45 in the absence of known asbestos exposure. Loss of bap1 by ihc is 100% specific for malignant mesothelioma in the context of mesothelioma vs. bap1 hereditary cancer predisposition syndrome medgen uid: However, some families with a high incidence of mesothelioma do not have the bap1 mutation. Greater than or equal to 2 years for subjects with a bap1 or tp53 mutation or with a first degree relative relative that has a germline mutation in tp53 or bap1; While recurrent bap1 mutations have been identified in a subset of mesotheliomas, molecular. Recent studies have shown that bap1 and its. The goal of mist is to enable acceleration of novel, effective personalised therapy as a basis for improving survival outcomes for patients with mesothelioma. To answer the question if different germline bap1 mutations may predispose to a single syndrome with a wide phenotypic range or to distinct syndromes. It has a poor prognosis and a median survival time of 20 months after diagnosis ().tumor development is associated with exposure to several known carcinogens such as asbestos fiber, rhesus virus 40, and radiation, of which asbestos exposure is the most important risk factor (). Standard treatment of pem is limited to cytoreductive surgery and/or chemotherapy, and no effective targeted therapies for pem exist.
0 Response to "Mesothelioma Bap1 - Bap1 Brca1 Associated Protein 1 Ubiquitin Carboxy Terminal Hydrolase - Survival difference could be attributed to earlier development of mesothelioma and death in bap1 mutant mice after asbestos exposure."
0 Response to "Mesothelioma Bap1 - Bap1 Brca1 Associated Protein 1 Ubiquitin Carboxy Terminal Hydrolase - Survival difference could be attributed to earlier development of mesothelioma and death in bap1 mutant mice after asbestos exposure."
Post a Comment